
Based at the University Hospitals of Leicester, we serve the educational needs of healthcare practitioners in Acute & Emergency Medicine across the East Midlands, UK
Based at the University Hospitals of Leicester, we serve the educational needs of healthcare practitioners in Acute & Emergency Medicine across the East Midlands, UK
The trainee will be able to identify a shocked patient, assess their clinical state, produce a list of appropriate differential diagnoses and initiate immediate management.
The first of four new simulation drills based on delivering time-critical infusions to children in the ED. This week’s drill is about correctly administering peripheral adrenaline.
Intestinal ischaemia presents as poorly localised abdominal pain and is the result of decreased blood flow to the GI tract.
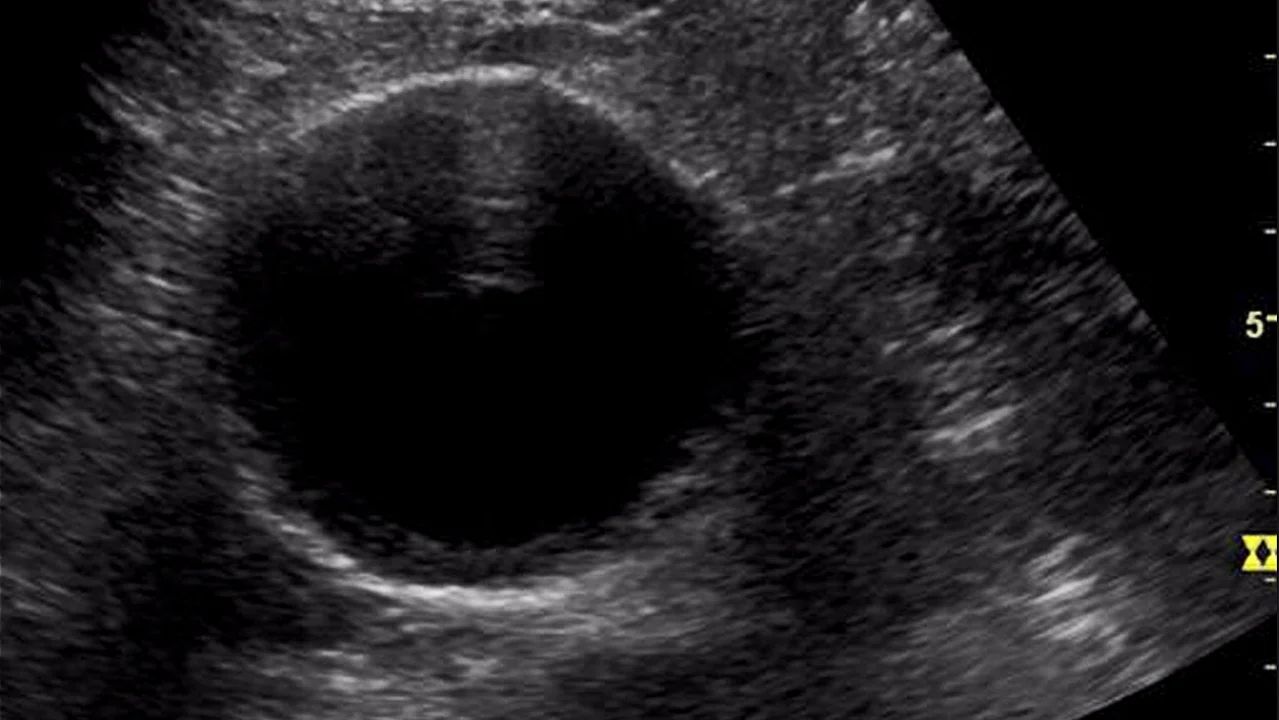
AAA is the enlargement of the aortic diameter >1.5 times normal and often an incidental finding. But there's an 85-99% mortality rate!
An ectopic pregnancy is when a fertilised egg implants and begins developing outside the uterus, affecting 1-in-80 pregnancies.
57-year-old with collapse following an episode of haematemesis. Hypotensive pre-hospital despite 1500mls IV fluids."
This week's sim was a little like the Kobayashi Maru Test... sometimes the outcome is never going to be good.
We are always looking to expand the number of resources that link to the RCEM curriculum. If you would like to contribute relevant links to be included, simply fill out the form below. We endeavour to peer review all links sent to us to ensure they are of the highest educational quality.